Télécharger WeDiagnostix maintenant
Chirurgiens-dentistes, stomatologues, radiologues
Nous ne lirons plus jamais une radio panoramique comme avant.
Maximisons la sécurité de notre exercice
Encourageons la prise de décision des patients
Renforçons la détection des pathologies
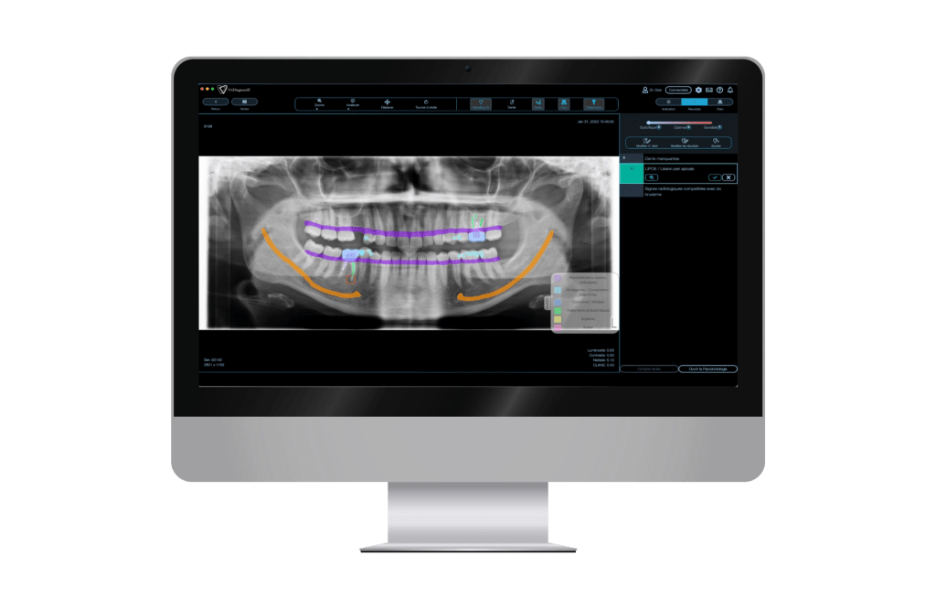
DETECTION DE 19 PATHOLOGIES
FACILE RAPIDE VISUEL
LA DÉCISION APPARTIENT AU PRATICIEN
JUSQU’AU COMPTE-RENDU RÉDIGÉ
Chirurgiens-dentistes, stomatologues, radiologues
Nous ne lirons plus jamais une radio panoramique comme avant.
Maximisons la sécurité de notre exercice
Encourageons la prise de décision des patients
Renforçons la détection des pathologies

DETECTION DE 19 PATHOLOGIES
FACILE RAPIDE VISUEL
LA DÉCISION APPARTIENT AU PRATICIEN
JUSQU’AU COMPTE-RENDU RÉDIGÉ
WeDiagnostix est l’IA de détection des pathologies au service du diagnostic
WeDiagnostix est l’IA de détection des pathologies au service du diagnostic
WeDiagnostix, l’intégration native avec :

« Nous avons créé une solution logicielle de pointe qui s’intègre très facilement aux habitudes de travail de chacun. Elle rend la révolution IA accessible à tous les praticiens, tout en protégeant les données des patients.«
Didier Ernenwein
CEO WeDiagnostix

L’IA parmi les plus performantes du monde en radiologie dentaire
L’IA parmi les plus performantes du monde en radiologie dentaire
L’IA de wediagnostix est le fruit d’une R&D continue et de réseaux de neurones entraînés sur 90 000 dents, 81 000 traitements, 40 000 pathologies. Elle atteint des résultats de détection jamais obtenus auparavant en dentaire.
3 MODES DE LECTURE DES RÉSULTATS
Numérotation
99,54%
Précision dans la numérotation des dents
SENSIBLE
89%
Sensibilité dans la détection des lésions périapicales (LIPOE) en mode Sensible
OPTIMAL
94,6%
Précision (Accuracy) dans la détection des lésions périapicales (LIPOE) en mode Optimal
SPECIFIQUE
99,1%
– internal évaluation based on a test set of 453 panoramic Xray
– internal study based Périapical lesion évaluation on 33 panoramic Xray where ground truth is determined on CBCT
– Nardi C, Calistri L, Grazzini G, Desideri I, Lorini C, Occhipinti M, Mungai F, Colagrande S. Is Panoramic Radiography an Accurate Imaging Technique for the Detection of Endodontically Treated Asymptomatic Apical Periodontitis? J Endod. 2018 Oct;44(10):1500-1508. doi: 10.1016/j.joen.2018.07.003. Epub 2018 Aug 25. PMID: 30154006.
Profitez pleinement de la révolution IA WeDiagnostix
Lecture immédiate
L’IA affiche en quelques secondes les pathologies dentaires et extra dentaires, avec une image en couleur et d’une grande clarté.
Précision de l’IA
L’IA supprime tout biais d’interprétation humain, détecte des pathologies peu visibles à l’œil nu ou pouvant lui échapper. Elle est un 2ème avis avec lequel le praticien décide.
Jusqu’au compte-rendu
L’IA délivre un compte-rendu rédigé, exhaustif et toujours modifiable, garantissant des résultats conformes aux exigences légales.
Plus 1000 bêta-testeurs
Plus de 1000 bêta-testeurs
Plus de 1000 praticiens, répartis dans plus de 70 pays, ont expérimenté la version bêta, après 3 ans de Recherche et Développement sur des dizaines de milliers de dents, de traitements et de pathologies. Tous les utilisateurs contribuent ensemble à la puissance de détection de l’IA WeDiagnostix.
Superbe outil, il est top et l'installation est facile.
Tout est bien repéré, même les caries radiculaires que je n’avais pas vues.
Le rapport anatomique entre les dents de sagesse et le nerf alvéolaire est représenté et permet aux patients de mieux comprendre mes explications, comme la proximité du nerf avec les racines des dents de sagesse.
Dr. Jean-David W.
Facile à installer
Je m’en sers pour revoir chaque radiographie.
J’ai ainsi un compte-rendu pour chaque patient. Initialement j’ai pris en main le système hors de la présence des patients, et rapidement je me suis aperçu que l’effet wahou des patients est garanti.
Je sécurise mon exercice.
Dr. Abdeslam C.
WeDiagnostix, entreprise française de la MedTech
wediagnostix, entreprise française de la MedTech
Qui sommes-nous?
WeDiagnostix est l’IA française intégrée aux logiciels dentaires qui réinvente la lecture des radiographies panoramiques.
En interaction avec l’IA de WeDiagnostix, le praticien détecte en moins d’1 seconde jusqu’à 19 pathologies dentaires et extra dentaires, facilite la décision des patients par la visualisation immédiate du schéma dentaire et un compte-rendu complet, renforce la sécurité de son activité grâce à des dossiers à jour en temps réel.
WeDiagnostix a ainsi créé une solution de pointe, parmi les plus performantes du monde en radiologie dentaire, qui rend la révolution IA accessible à tous les praticiens.
WeDiagnostix est une société française spécialisée dans le traitement d’image médicale par de l’intelligence artificielle.


« WeDiagnostix a atteint une performance exceptionnelle avec des réseaux de neurones de haute qualité. Derrière la simplicité de notre solution se cache une prouesse technologique : des algorithmes avancés garantissant précision et fiabilité. L’utilisation reste intuitive, tout en offrant une qualité de détection parmi les meilleures du secteur.«
















